Welcome to Pathology's Bi-Weekly Bulletin | August 22, 2025

Leadership Update: Appointment of Dr. Diana Ionescu as Clinical Fellowship Director

We are pleased to share that Dr. Diana Ionescu has taken on the role of Clinical Fellowship Director for the Department of Pathology and Laboratory Medicine, UBC fellowship programs. Her appointment began on August 1, 2025. In this role, Dr. Ionescu will oversee and coordinate all fellowship activities within DPLM.

Dr. Ionescu has been with DPLM for 18 years and brings extensive leadership and teaching experience. She previously served as the AP Residency Program Director (2009–2017), and has received the Mentorship Award (2022) and the Education Award (2024) from our department. She is also the founder and Director of the Canadian Anatomic and Molecular Pathology (CAMP) Education Association and leads the CAMP Pathology Oncology Digital Series.

We warmly welcome Dr. Ionescu to her new role and thank her for her dedication to advancing fellowship training.

 

New Appointment: Associate Academic Head, Providence Health Care

We are pleased to announce the appointment of Dr. Christopher Lowe as the Associate Academic Department Head for the St. Paul’s Hospital/Providence site. This appointment follows a diligent search and interview process led by the committee, and we are excited to welcome Dr. Lowe into this important leadership role.

 

 

Weekly Province-wide Pathology Rounds

🩺 Weekly Rounds Update

Please note: Province-wide Pathology Rounds have now concluded for the 2024-2025 Season – have a fun-filled summer!.

Province-wide Pathology Rounds for the 2025-2026 Season will begin on Friday, September 5, 2025 – a calendar invitation will be coming soon!


🔁 Missed a session? View recordings of previous rounds here: Past Rounds Archive

💡 Have ideas for future rounds or speakers? We’d love to hear from you! Email us at pathassist@pathology.ubc.ca

Students in class listening to a lecturer

Congratulations to Dr. Marthe Kenny Charles

Congratulations to Dr. Marthe Kenny Charles, Clinical Associate Professor in Pathology and Laboratory Medicine at UBC and Medical Microbiologist and Infectious Diseases Specialist at VGH, on her nomination for a oneVCH Award. The oneVCH Awards, formerly known as the People First Awards, celebrate VCH staff, medical staff, and volunteers who go above and beyond to make VCH a great place to work and deliver care.

Security Alert: Malicious Campaigns Targeting IT Administrators

We want to bring to your attention a recent threat involving SEO poisoning, where malicious actors manipulate search engine results to trick IT professionals into visiting a malicious site and downloading malware. These campaigns often disguise malware as legitimate IT resources (e.g. troubleshooting guides, software downloads, or remote management tools). When clicked, the links lead to compromised websites that deliver malicious payloads onto IT administrator workstations. After gaining access, attackers can move laterally across the network and ultimately encrypt or steal data.

Recommended Actions:

  1. Avoid downloading scripts or tools from unfamiliar or unofficial sources. Use only trusted repositories and vendor-approved platforms.
  2. Do not use personally owned devices to perform IT administrative functions. If personal device use is necessary (e.g. during travel), it must be authorized by your unit IT lead, secured with UBC-approved tools (EDR, VPN, DNS firewall, encryption), and limited to low-risk activities.
  3. Keep all systems you manage fully patched. Per UBC ISS M5, patch vulnerabilities as soon as possible — i.e. Critical severity preferably within 72 hours, and High severity preferably within 14 days of patch release.
  4. Ensure UBC-approved EDR is deployed across all systems you manage. This includes installing CrowdStrike on all IT administrator workstations.
  5. Implement Privileged Access Management (PAM). We will be rolling out PAM to help prevent unauthorized use of compromised root and system administrator accounts.
  6. Report suspicious activity to security@ubc.ca. Early reporting helps prevent broader compromise.

Please share this message with all IT staff in your teams.

Thank you for helping to reduce risk for the Faculty of Medicine and UBC.

Students in class listening to a lecturer

Register Now: 6th Annual Immersion Week

September 23–24, 2025 | UBC Robson Square

Registration is now open for the 6th annual Immersion Week, bringing together experts, innovators, and community leaders to explore this year’s theme: AI & Security. The two-day event will feature panels, keynotes, roundtables, and networking opportunities designed to spark cross-network collaboration.

Don’t miss this opportunity to join the conversation and connect with leaders shaping the future of AI and security.

Register here

Students in class listening to a lecturer

Vancouver Summer Program 2025

We are pleased to share that the 2025 Vancouver Summer Program in Medical Laboratory Science has successfully concluded. Over the past few weeks, students, instructors, and organizers came together to exchange knowledge, build connections, and create an engaging learning experience. Thank you to everyone who contributed to making this program a success.

Students in class listening to a lecturer

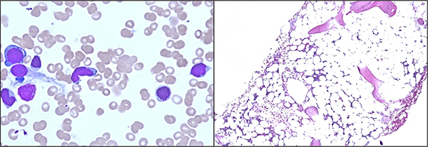
Notable Cases by Dr. Habib Moshref Razavi:

Todays notable case: Hypocellular AML
A 78-year-old woman presented with pancytopenia and transfusion-dependent anemia. Initial blood films and marrow aspirates showed only rare blasts, without striking morphological atypia. Core trephine biopsy was hypocellular (10–20%) with an interstitial blast infiltrate.
Immunohistochemistry (CD34, CD117) and flow cytometry unmasked a blast population of ~23–30%, establishing the diagnosis of acute myeloid leukemia (AML).
This case illustrates how AML may present with subtle morphology in a hypocellular marrow, where careful use of ancillary techniques is critical for diagnosis. (MGG stain; aspirate x50 magnification; H&E core trephine 5 and 50 magnification, CD34 and CD117 x 50 magnification)

Students in class listening to a lecturer

IMPaCT Training Awards

Michael Smith Health Research BC is partnering with IMPaCT Trials to co-fund three training awards (PhD, Postdoctoral Fellow, and Early Career Researcher) for the 2026–27 competition. These one-year awards provide mentorship, immersive training, and networking opportunities to support the next generation of clinical trial researchers in BC. Dedicated awards are also available for applicants who identify as Black or Indigenous.

Learn more and apply here.

📣 Have News to Share?

Do you have a story, publication, award, event, or other exciting update to share with the UBC Pathology community?

We’d love to hear from you! Please reach out to Debbie Bertanjoli at dbertanjoli@pathology.ubc.ca.

Let’s celebrate our collective achievements and keep our community connected!